Bluesky Facebook Reddit Email

Researchers transplant regenerated esophagus

04.15.14 | Karolinska Institutet

SAMSUNG T9 Portable SSD 2TB

SAMSUNG T9 Portable SSD 2TB transfers large imagery and model outputs quickly between field laptops, lab workstations, and secure archives.


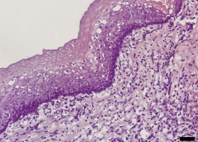
Tissue engineering has been used to construct natural oesophagi, which in combination with bone marrow stem cells have been safely and effectively transplanted in rats. The study, published in Nature Communications , shows that the transplanted organs remain patent and display regeneration of nerves, muscles, epithelial cells and blood vessels.

The new method has been developed by researchers at Karolinska Institutet in Sweden, within an international collaboration lead by Professor Paolo Macchiarini. The technique to grow human tissues and organs, so called tissue engineering, has been employed so far to produce urinary bladder, trachea and blood vessels, which have also been used clinically. However, despite several attempts, it has been proven difficult to grow tissue to replace a damaged oesophagus.

In this new study, the researchers created the bioengineered organs by using oesophagi from rats and removing all the cells. With the cells gone, a scaffold remains in which the structure as well as mechanical and chemical properties of the organ are preserved. The produced scaffolds were then reseeded with cells from the bone marrow. The adhering cells have low immunogenicity which minimizes the risk of immune reaction and graft rejection and also eliminates the need for immunosuppressive drugs. The cells adhered to the biological scaffold and started to show organ-specific characteristics within three weeks.

The cultured tissues were used to replace segments of the oesophagus in rats. All rats survived and after two weeks the researchers found indications of the major components in the regenerated graft: epithelium, muscle cells, blood vessels and nerves.

"We believe that these very promising findings represent major advances towards the clinical translation of tissue engineered esophagi", says Paolo Macchiarini, Director of Advanced center for translational regenerative medicine (ACTREM) at Karolinska Institutet.

Tissue engineered organs could improve survival and quality of life for the hundreds of thousands of patients yearly diagnosed with oesophageal disorders such as cancer, congenital anomalies or trauma. Today the patients' own intestine or stomach is used for esophageal replacements, but satisfactory function rarely achieved. Cultured tissue might eliminate this current need and likely improve surgery-related mortality, morbidity and functional outcome.

On 21 March 2017 Nature Communications retracted the paper “Experimental orthotopic transplantation of a tissue-engineered oesophagus in rats” by Sjöqvist S, et al, due to concerns regarding the integrity of the study.

The current study was conducted in collaboration with the Texas Heart Institute in the U.S., as well as universities in Italy, Russia, and Germany. It was supported financially by, among others, the Swedish Research Council, the Stockholm County Council through the ALF agreement, and the European Union's Seventh Framework Programme. The equipment used in the study was developed by the company Harvard Apparatus Regenerative Technology.

Publication: 'Experimental orthotopic transplantation of a tissue-engineered oesophagus in rats', Sebastian Sjöqvist, Philipp Jungebluth, Mei Ling Lim, Johannes C. Haag, Ylva Gustafsson, Greg Lemon, Silvia Baiguera, Miguel Angel Burguillos, Costantino Del Gaudio, Alexander Sotnichenko, Karolina Kublickiene, Henrik Ullman, Heike Kielstein, Peter Damberg, Alessandra Bianco, Rainer Heuchel, Ying Zhao, Domenico Ribatti, Cristián Ibarra, Bertrand Joseph, Doris A. Taylor & Paolo Macchiarini, Nature Communications , online 15 April 2014, doi:10.1038/ncomms4562.

Website of the journal: http://www.nature.com/ncomms

Karolinska Institutet - a medical university: ki.se/english

Nature Communications

Keywords

Article Information

Contact Information

Press Office
pressinfo@ki.se

How to Cite This Article

APA:
Karolinska Institutet. (2014, April 15). Researchers transplant regenerated esophagus. Brightsurf News. https://www.brightsurf.com/news/LD5MOM6L/researchers-transplant-regenerated-esophagus.html
MLA:
"Researchers transplant regenerated esophagus." Brightsurf News, Apr. 15 2014, https://www.brightsurf.com/news/LD5MOM6L/researchers-transplant-regenerated-esophagus.html.