Bluesky Facebook Reddit Email

Penn Medicine study reveals imaging approach with potential to detect lung cancer earlier, at the cellular level

05.18.22 | University of Pennsylvania School of Medicine

Apple AirPods Pro (2nd Generation, USB-C)

Apple AirPods Pro (2nd Generation, USB-C) provide clear calls and strong noise reduction for interviews, conferences, and noisy field environments.


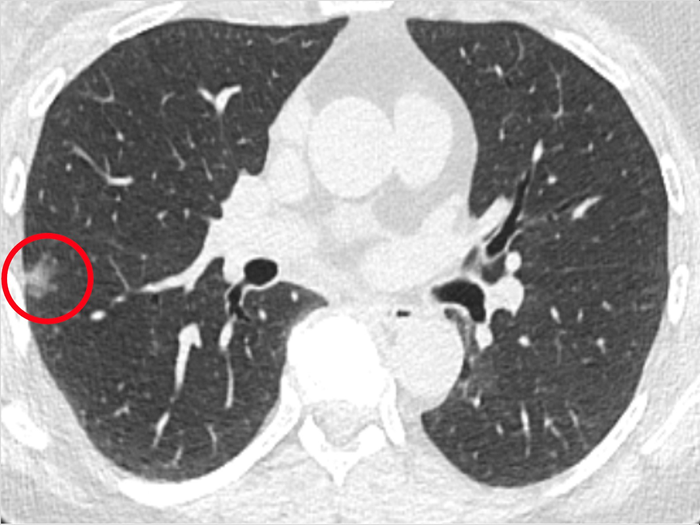
PHILADELPHIA — Researchers at the Abramson Cancer Center at the University of Pennsylvania have found a way to identify lung cancer at the cellular level in real time during a biopsy, offering promise in the ability to detect the disease earlier and with more confidence. The findings, which build on previous Penn research, demonstrate that an imaging agent detected via guided technology during biopsies in real time can effectively light up cancer cells that may have been too small to detect using existing technology. Based on the more easily identifiable presence of fluorescent cancer cells generated by the new imaging approach, five non-expert raters diagnosed the malignant or non-malignant tissue biopsies with 96 percent accuracy and made no false negatives on the 20 human biopsy specimens they reviewed. The research is published this week in Nature Communications .

The Penn team examined human cancer cells from patients who had a history of smoking. Researchers took the cancer cells and grew them with the normal cells in the laboratory to see how small a quantity of cell could be detected. Then, with an investigational imaging agent, Cytalux™ (pafolacianine) injection, paired with Cellvizio ® , a probe and needle-based imaging platform, they discovered that integrating the technologies allowed researchers to detect cancer at the cellular level in real time during biopsy in various preclinical models, including in culture, small animal models, and human tissue from patients undergoing surgery for lung cancer as part of an ongoing clinical trial. The researchers call the new technology NIR-nCLE, as it combines the cancer-targeted near-infrared (NIR) tracer with a needle-based confocal laser endomicroscopy (nCLE) system, which is modified to detect the NIR signal.

Biopsies of suspicious tissue are not always effective, because many times the concerning nodules may be too small to see and to remove for further testing. Not only does this leave many patients and physicians uncertain about whether cancer is present, it requires the need for additional biopsies and radiological surveillance until the nodule is big enough to see for removal and evaluation via a histopathologic evaluation, which can take several days to complete. Current medical technology does not provide real-time diagnostic information during biopsy.

Methods like NIR-nCLE, which aim to find these microscopic nodules, can offer greater precision in the identification and, later, removal of cancer cells.

“The emerging ability to light up a single cell that may be invisible to the eye provides great opportunity to give patients the best chance at an early diagnosis before cancer spreads,” said Gregory T. Kennedy, MD, a resident in General Surgery at Penn. “This unique approach has the potential to improve the information we get from biopsies and it may increase our chances of identifying cancer early.”

According to the Centers for Disease Control and Prevention (CDC), lung cancer is the third most common cancer in the United States, and more people – both men and women – die from this cancer than any other type. More than 236,000 patients are diagnosed with the disease each year, and more than 130,000 people die of it annually.

“This research shines a light on the possibility of being able to more accurately identify and diagnose lesions that could be cancerous, even those that are very small and may evade our typical diagnostic capabilities,” said Sunil Singhal, MD, Chief of the Division of Thoracic Surgery, the William Maul Measey Associate Professor in Surgical Research, and director of the Center for Precision Surgery at the Abramson Cancer Center at Penn. “The quest to diagnose lung cancer in earlier stages is a centerpiece of our research, since early detection is so closely connected to chances for successful treatment.”

The researchers hope this approach can be used to help with earlier diagnosis of other cancer types. Penn investigators and industry partners have pioneered additional targeted imaging technologies for lung, brain, breast, sarcoma, head and neck, and urinary tract cancers. The U.S. Food and Drug Administration (FDA) recently approved Cytalux for use in adult patients with ovarian cancer as an add on during surgery to identify cancerous lesions.

The Center for Precision Surgery and researchers from its half-dozen affiliated labs have developed several other targeted imaging technologies since its founding in 2015. The Penn physicians and researchers have tested these approaches in clinical studies involving more than 1,200 patients at Penn to date.

In the new study, Cytalux, made by On Target Laboratories, was detected using Cellvizio ® , the real-time in vivo cellular imaging platform from Mauna Kea Technologies.

This study was funded by the National Cancer Institute (F32 CA254210-01, R01 CA193556), the American Philosophical Society Daland Fellowship in Clinical Investigation, a Thoracic Surgery Foundation Resident Research Scholarship, and the Pennsylvania Health Research Formula Fund.

###

Penn Medicine is one of the world’s leading academic medical centers, dedicated to the related missions of medical education, biomedical research, and excellence in patient care. Penn Medicine consists of the Raymond and Ruth Perelman School of Medicine at the University of Pennsylvania (founded in 1765 as the nation’s first medical school) and the University of Pennsylvania Health System , which together form a $9.9 billion enterprise.

The Perelman School of Medicine has been ranked among the top medical schools in the United States for more than 20 years, according to U.S. News & World Report's survey of research-oriented medical schools. The School is consistently among the nation's top recipients of funding from the National Institutes of Health, with $546 million awarded in the 2021 fiscal year.

The University of Pennsylvania Health System’s patient care facilities include: the Hospital of the University of Pennsylvania and Penn Presbyterian Medical Center—which are recognized as one of the nation’s top “Honor Roll” hospitals by U.S. News & World Report—Chester County Hospital; Lancaster General Health; Penn Medicine Princeton Health; and Pennsylvania Hospital, the nation’s first hospital, founded in 1751. Additional facilities and enterprises include Good Shepherd Penn Partners, Penn Medicine at Home, Lancaster Behavioral Health Hospital, and Princeton House Behavioral Health, among others.

Penn Medicine is powered by a talented and dedicated workforce of more than 52,000 people. The organization also has alliances with top community health systems across both Southeastern Pennsylvania and Southern New Jersey, creating more options for patients no matter where they live.

Penn Medicine is committed to improving lives and health through a variety of community-based programs and activities. In fiscal year 2021, Penn Medicine provided more than $619 million to benefit our community.

Caren Begun
C: 267-408-9196
Caren.begun@pennmedicine.upenn.edu

For Patients and the General Public: 1-800-789-7366

For Media Queries & Requests (24/7): 215-662-2560

Nature Communications

10.1038/s41467-022-30265-z

Experimental study

Targeted detection of cancer at the cellular level during biopsy by near-infrared confocal laser endomicroscopy

17-May-2022

Keywords

Article Information

Contact Information

Caren Begun
University of Pennsylvania
caren.begun@pennmedicine.upenn.edu

Source

How to Cite This Article

APA:
University of Pennsylvania School of Medicine. (2022, May 18). Penn Medicine study reveals imaging approach with potential to detect lung cancer earlier, at the cellular level. Brightsurf News. https://www.brightsurf.com/news/LN2XGQK1/penn-medicine-study-reveals-imaging-approach-with-potential-to-detect-lung-cancer-earlier-at-the-cellular-level.html
MLA:
"Penn Medicine study reveals imaging approach with potential to detect lung cancer earlier, at the cellular level." Brightsurf News, May. 18 2022, https://www.brightsurf.com/news/LN2XGQK1/penn-medicine-study-reveals-imaging-approach-with-potential-to-detect-lung-cancer-earlier-at-the-cellular-level.html.