Bluesky Facebook Reddit Email

Carnegie Mellon scientists track neuronal stem cells using MRI

09.29.11 | Carnegie Mellon University

SAMSUNG T9 Portable SSD 2TB

SAMSUNG T9 Portable SSD 2TB transfers large imagery and model outputs quickly between field laptops, lab workstations, and secure archives.


PITTSBURGH—Carnegie Mellon University biologists have developed an MRI-based technique that allows researchers to non-invasively follow neural stem cells in vivo.

The recently patented technology could be used to further the study of neural stem cells and inform the development of new treatments for brain injury caused by trauma, stroke, Parkinson's disease and other neurological disorders. The findings, authored by Associate Professor of Biological Sciences Eric Ahrens and Biological Sciences postdoctoral student Bistra Iordanova, are published online in the journal NeuroImage.

Legend had it that once a brain cell dies, it's lost forever. Neuroscientists now know that this is purely myth, having proved that the brain is constantly producing new neurons. These neural stem cells are born deep in an area of the brain called the subventricular zone. As time goes on, the cells, also called neuroblasts, make their way to other areas of the brain where they mature into functioning neurons. The brain's ability to regenerate its cells is of great interest to scientists.

"If we could better understand the molecular migratory signals that guide neuroblasts, we could try to redirect these cells to areas of the brain harmed by stroke or traumatic brain injury. With this information, scientists might be able to one day repair the brain," said Ahrens, who also is a member of the Pittsburgh NMR Center for Biomedical Research.

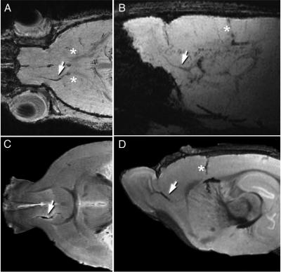
Studying cells in a living brain is problematic. Common forms of in vivo cell imaging like fluorescence and bioluminescence rely on light to produce images, making them unsuitable for viewing neuroblasts buried deep beneath the skull and layers of opaque tissue. Until now, scientists had only been able to study neuronal stem cells by looking at slices of the brain under a microscope. Ahrens was able to surmount this problem using MRI technology.

Rather than light, MRI uses magnets to create high-resolution images. A typical MRI scan uses a magnetic field and radio frequency pulses to cause the hydrogen protons found in the body's water molecules to give off signals. Those signals are converted into a high-resolution image.

At the foundation of this work is a technology Ahrens developed. As reported in a 2005 issue of Nature Medicine, Ahrens developed a method that causes cells to produce their own contrast agent allowing them to be imaged with MRI. Using a viral vector, Ahrens incorporated the gene that produces the naturally occurring metalloprotein ferritin into living cells. Ferritin, which is present in all biological cells, harvests and stores naturally occurring iron. When the cells tagged with ferritin began to produce increased amounts of the protein, they draw in additional iron, turning themselves into nanomagnets. This disrupts the magnetic field surrounding the tagged cells, changing the signal given off by adjacent water molecules. This change appears as dark spots on the MRI image indicating the cells' presence. Since then, Ahrens' team has improved on the process, developing an engineered form of ferritin that is a more effective MRI reporter than naturally occurring ferritin.

In the current study, Iordanova and Ahrens used the same technique as in the initial study, this time tagging neuroblasts with the engineered ferritin. They incorporated the DNA sequence for the engineered metalloprotein into an adenovirus vector, which they then injected into the subventricular zone of a rat brain. The adenovirus infected the neural stem cells giving the cells the genetic instructions to begin producing the ferritin reporter. Iordanova then imaged the brain with MRI and found that she was able to follow — in real time — the neuroblasts as they traveled toward the olfactory bulb and ultimately formed new inhibitory neurons. These results mirrored what had been observed in histology studies.

Recently, Carnegie Mellon received a patent for the reporter. Ahrens hopes to continue to develop the technology in order to allow researchers to better understand neuronal stem cells and how neurons regenerate. Ahrens also plans to use the reporters to improve clinical trials of cell-based therapies. By incorporating the reporter into the cells before implantation, researchers would be able to find the answer to a number of critical questions.

"Where do these cells go, days, weeks and months later? How do we know that they've grafted to the right cells? Or have they grafted in the wrong place? Or died?" Ahrens asked. "The reporter can show us the answers."

The National Science Foundation and National Institutes of Health funded this research.

About Carnegie Mellon: Carnegie Mellon (www.cmu.edu) is a private, internationally ranked research university with programs in areas ranging from science, technology and business, to public policy, the humanities and the fine arts. More than 11,000 students in the university's seven schools and colleges benefit from a small student-to-faculty ratio and an education characterized by its focus on creating and implementing solutions for real problems, interdisciplinary collaboration and innovation. A global university, Carnegie Mellon's main campus in the United States is in Pittsburgh, Pa. It has campuses in California's Silicon Valley and Qatar, and programs in Asia, Australia, Europe and Mexico. The university is in the midst of a $1 billion fundraising campaign, titled "Inspire Innovation: The Campaign for Carnegie Mellon University," which aims to build its endowment, support faculty, students and innovative research, and enhance the physical campus with equipment and facility improvements.

NeuroImage

Keywords

Article Information

Contact Information

Jocelyn Duffy
Carnegie Mellon University
jhduffy@andrew.cmu.edu

Source

How to Cite This Article

APA:
Carnegie Mellon University. (2011, September 29). Carnegie Mellon scientists track neuronal stem cells using MRI. Brightsurf News. https://www.brightsurf.com/news/LP20MKML/carnegie-mellon-scientists-track-neuronal-stem-cells-using-mri.html
MLA:
"Carnegie Mellon scientists track neuronal stem cells using MRI." Brightsurf News, Sep. 29 2011, https://www.brightsurf.com/news/LP20MKML/carnegie-mellon-scientists-track-neuronal-stem-cells-using-mri.html.