Bluesky Facebook Reddit Email

'Traffic jam' in brain linked to common cognitive disorder

09.06.16 | Radiological Society of North America

GoPro HERO13 Black

GoPro HERO13 Black records stabilized 5.3K video for instrument deployments, field notes, and outreach, even in harsh weather and underwater conditions.


OAK BROOK, Ill. - Brain MRI could help improve the diagnosis of people with a common type of cognitive disorder, according to a new study published online in the journal Radiology .

Vascular cognitive disorder is caused by disease of the vessels supplying blood to the brain. Strokes and transient ischemic attacks, or ministrokes, are risk factors. The resulting loss of healthy brain tissue adversely affects concentration and decision making and leads to problems with planning and organizing. Prevalence of vascular cognitive disorder is increasing in the elderly, and it can be challenging to diagnose and differentiate from other forms of dementia like Alzheimer's disease.

"If vascular cognitive disorder follows a major stroke, the cognitive impairment typically develops suddenly, and can thus be well recognized," said study co-author Dewen Meng, M.Sc., from the University of Nottingham in Nottingham, England. "In the majority of cases such a clear association is lacking, explaining why the detection of vascular cognitive disorder remains challenging."

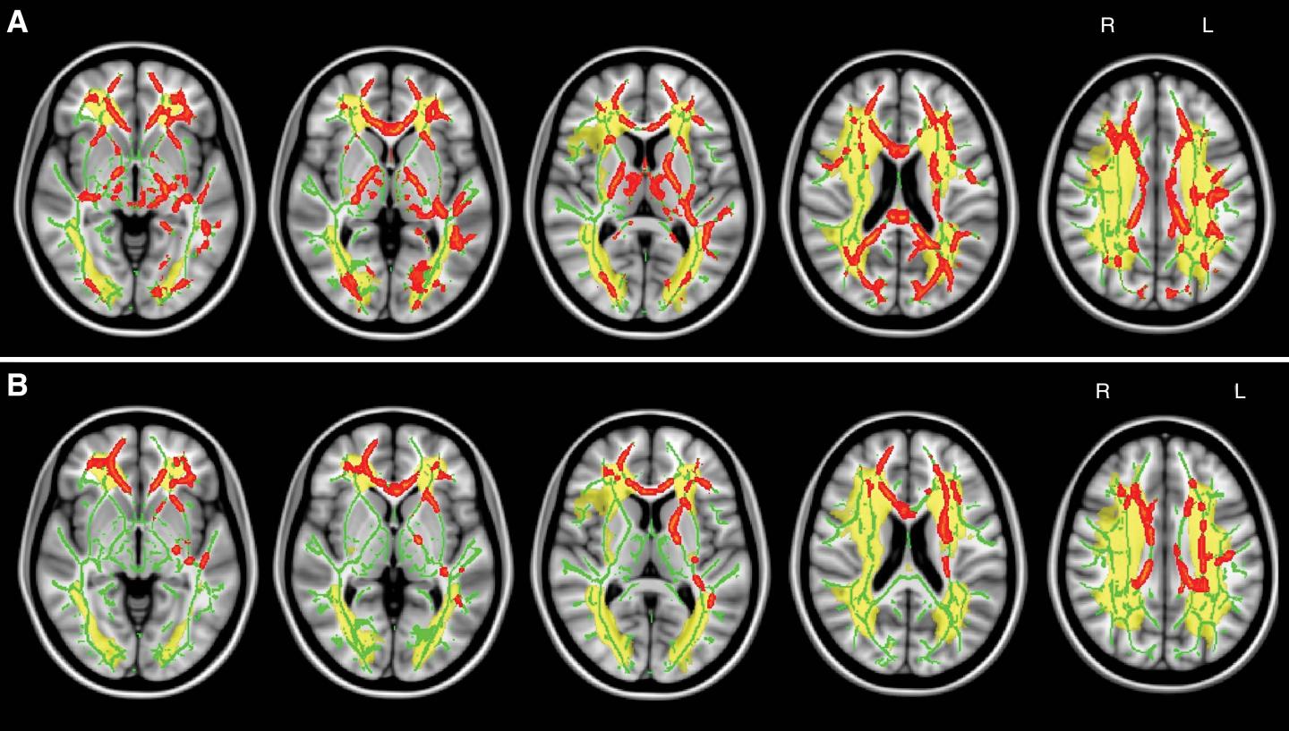
A biomarker that could predict and track vascular cognitive disorder on imaging exams has yet to be found, although MRI measurements of the brain's signal-carrying white matter are a promising area of research. Damage to the white matter can be assessed with diffusion tensor imaging, an MRI technique that provides two important measures of microscopic brain damage: mean diffusivity and fractional anisotropy. Increased mean diffusivity, which measures the movement of water through tissue, is particularly sensitive to the breakdown of nerve fibers in the brain and the protective coating around them.

For the new study, researchers assessed brain MRI and cognitive examination results from 108 patients with symptomatic carotid artery disease, a risk factor for vascular cognitive disorder. Of the 108 patients, 53 were cognitively impaired. Further analysis showed a clear correlation between cognitive performance and the presence of chronic vascular disease-related lesions within certain white matter tracts of the brain. White matter tract skeleton mean diffusivity showed the closest correlation with impaired cognitive performance, making it a promising tool for improved diagnostic accuracy of vascular cognitive disorder.

"Using standard clinical brain MRI, we found that microscopic damage of main white matter tracts allowed us to distinguish patients with symptomatic carotid artery disease and cognitive impairment from those who were cognitively intact," said the study's senior author, Dorothee P. Auer, Ph.D., from the University of Nottingham. "Our findings mean that a simple MRI test might improve the diagnostic work-up of people with suspected vascular cognitive disorder, and holds further promise to track progression of the disorder."

The results suggest that a key mechanism of vascular cognitive disorder is subcortical disconnection, a kind of breakdown of communication within the large-scale cognitive neural networks.

Dr. Auer explained that the brain is functionally organized into networks that require efficient communication across specific brain regions. This communication depends on the information flow between the network nodes, not unlike the flow of passenger traffic through an extensive urban subway system. Subcortical disconnection suggests a disruption in connections between such cognitive nodes, impairing information flow and thus network coordination.

"The analogy would be a construction site at one of the main subway lines causing traffic disruptions," Dr. Auer said.

The researchers plan to expand their studies and look at changes in patients over time to see if they can track the progression of subcortical disconnection.

"This will be a critical step in the quest for prevention of vascular dementia, by helping to identify those at risk, and by enabling imaging studies to evaluate the effectiveness of interventions," Meng said.

###

"Lesion Topography and Microscopic White Matter Tract Damage Contribute to Cognitive Impairment in Symptomatic Carotid Artery Disease." Collaborating with Meng and Dr. Auer were Akram A. Hosseini, Ph.D., Richard J. Simpson, Ph.D., Quratulain Shaikh, M.Sc., Christopher R. Tench, Ph.D., and Robert A. Dineen, Ph.D.

Radiology is edited by Herbert Y. Kressel, M.D., Harvard Medical School, Boston, Mass., and owned and published by the Radiological Society of North America, Inc. ( http://radiology.rsna.org/ )

RSNA is an association of more than 54,000 radiologists, radiation oncologists, medical physicists and related scientists promoting excellence in patient care and health care delivery through education, research and technologic innovation. The Society is based in Oak Brook, Ill. ( RSNA.org )

For patient-friendly information on brain MRI, visit RadiologyInfo.org .

Radiology

Keywords

Article Information

Contact Information

Linda Brooks
Radiological Society of North America
lbrooks@rsna.org

How to Cite This Article

APA:
Radiological Society of North America. (2016, September 6). 'Traffic jam' in brain linked to common cognitive disorder. Brightsurf News. https://www.brightsurf.com/news/LP2MMEVL/traffic-jam-in-brain-linked-to-common-cognitive-disorder.html
MLA:
"'Traffic jam' in brain linked to common cognitive disorder." Brightsurf News, Sep. 6 2016, https://www.brightsurf.com/news/LP2MMEVL/traffic-jam-in-brain-linked-to-common-cognitive-disorder.html.