Bluesky Facebook Reddit Email

Body knows best: A natural healing mechanism for inflammatory bowel disease

05.30.18 | Weizmann Institute of Science

Apple AirPods Pro (2nd Generation, USB-C)

Apple AirPods Pro (2nd Generation, USB-C) provide clear calls and strong noise reduction for interviews, conferences, and noisy field environments.


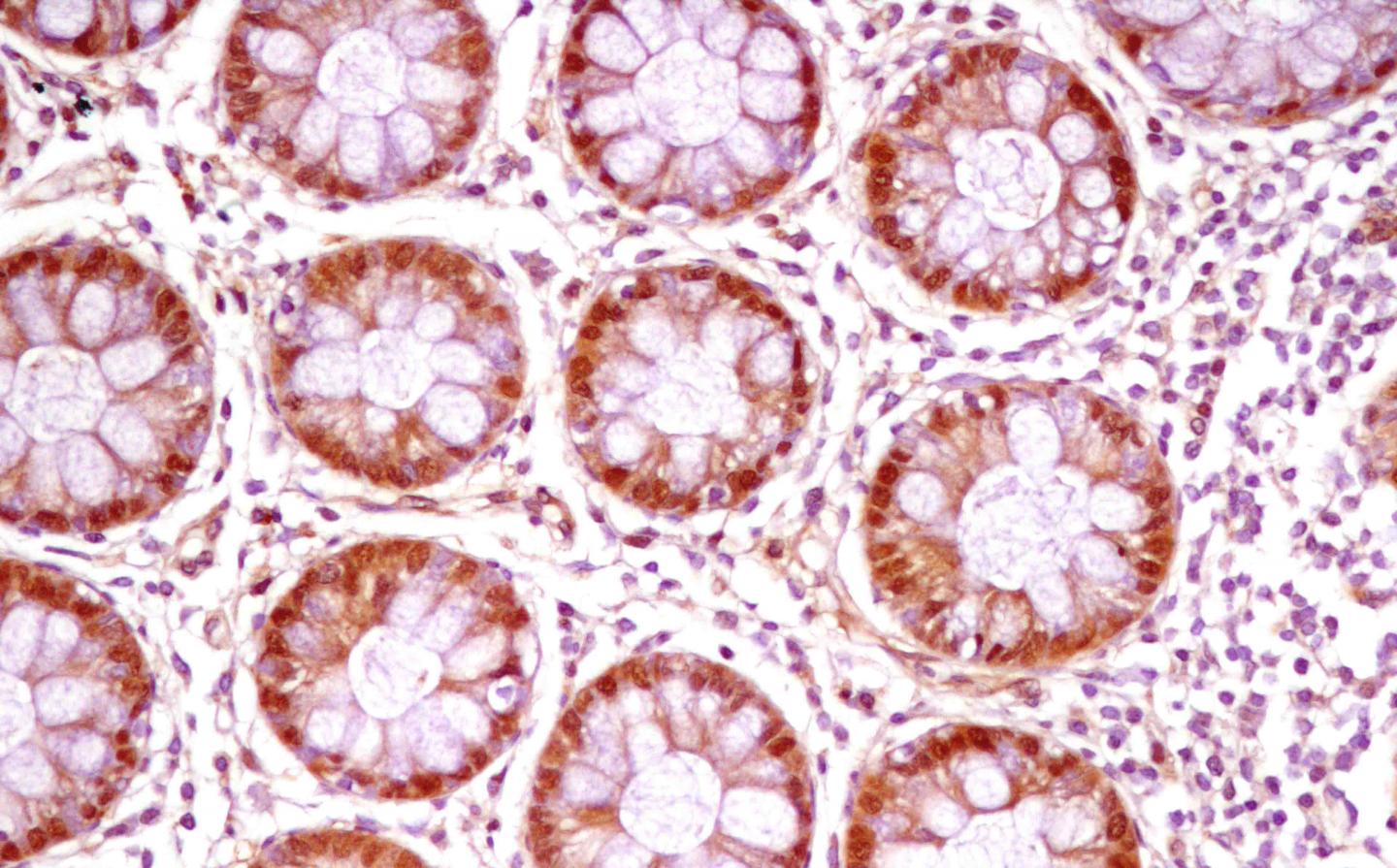
Treating inflammatory diseases of the bowel is extremely challenging: Genes, gut microbes and disrupted immune function all contribute. Weizmann Institute of Science researchers are proposing a way around this complexity. In a study in mice, published in Cell Reports , they have found a way to trigger a natural defense mechanism that prompts the body itself to alleviate intestinal inflammation.

The study, led by veterinarian Dr. Noa Stettner, who is also a PhD student in the lab of Dr. Ayelet Erez in the Biological Regulation Department, focused on nitric oxide (NO), a signaling molecule involved in a variety of biological processes. Scientists have long tried to determine what role NO plays in such inflammatory conditions as Crohn's disease and ulcerative colitis, but NO alleviated intestinal inflammation in some circumstances and promoted it in others.

The Weizmann researchers hypothesized that the paradoxical findings might arise because NO has different effects in different types of cell in the gut. They genetically engineered mice to block NO production exclusively in certain types of cells: either in the cells making up the inner lining of the gut or in immune cells. They found that the symptoms of a colitis-like disease got worse when NO synthesis was blocked in the gut cells; but they improved when NO was blocked in immune cells, particularly in large cells called macrophages.

The scientists concluded if inflammatory bowel diseases are treated by raising NO levels, it may cause side effects in cells outside the gut lining. Stettner, with the help of collaborators at the Weizmann Institute and elsewhere, set out to develop a method for boosting NO production only in the gut lining cells.

They relied on Erez's earlier finding that an enzyme called ASL that is responsible for the making of the amino acid arginine, the raw material from which the body manufactures NO. The researchers turned to two natural substances: fisetin, which is present in apples, persimmons and strawberries elevated ASL levels, and citrulline, found in watermelon, beets, and spinach increased ASL activity.

The two supplements, when given together, promoted the manufacture of NO exclusively in cells of the inner lining of the gut. Most important, in mice, the symptoms of an inflammatory disease in the gut improved significantly.

The treatment also had a beneficial effect on colon cancer, which is known to be aggravated by gut inflammation. In mice with tumors of the colon, intestinal inflammation subsided and their tumors decreased in number and size after receiving the supplements.

If this approach is shown to raise NO levels in the inner lining cells in humans, it may help treat inflammatory bowel diseases ? and potentially even colon cancer. The fact that it makes use of over-the-counter nutritional supplements should facilitate its implementation.

###

Contributors to this research included: Julia Frug, Dr. Alon Silberman, Dr. Alona Sarver and Dr. Narin N. Carmel-Neiderman of the Biological Regulation Department; Dr. Chava Rosen, Dr. Biana Bernshtein, Dr. Shiri Gur- Cohen, Dr. Meirav Pevsner-Fischer, Dr. Niv Zmora and Prof. Steffen Jung of the Immunology Department; Dr. Raya Eilam, Dr. Inbal Biton and Prof. Alon Harmelin of the Veterinary Resources Department; Dr. Alexander Brandis of the Life Sciences Core Facilities Department; Dr. Keren Bahar Halpern of the Molecular Cell Biology Department; Dr. Ram Mazkereth of Tel Aviv University; Dr. Diego di Bernardo and Dr. Nicola Brunetti-Pierri of Federico II University in Naples, Italy; Dr. Gillian Dank of the Hebrew University of Jerusalem; and Dr. Murali Premkumar and Dr. Sandesh CS. Nagamani of Baylor College of Medicine in Houston, Texas.

Dr. Ayelet Erez's research is supported by the Adelis Foundation; the Rising Tide Foundation; the Comisaroff Family Trust; the Irving B. Harris Fund for New Directions in Brain Research; and the European Research Council. Dr. Erez is the incumbent of the Leah Omenn Career Development Chair.

The Weizmann Institute of Science in Rehovot, Israel, is one of the world's top-ranking multidisciplinary research institutions. Noted for its wide-ranging exploration of the natural and exact sciences, the Institute is home to scientists, students, technicians and supporting staff. Institute research efforts include the search for new ways of fighting disease and hunger, examining leading questions in mathematics and computer science, probing the physics of matter and the universe, creating novel materials and developing new strategies for protecting the environment.

Cell Reports

Keywords

Article Information

Contact Information

Source

How to Cite This Article

APA:
Weizmann Institute of Science. (2018, May 30). Body knows best: A natural healing mechanism for inflammatory bowel disease. Brightsurf News. https://www.brightsurf.com/news/LR54VZY8/body-knows-best-a-natural-healing-mechanism-for-inflammatory-bowel-disease.html
MLA:
"Body knows best: A natural healing mechanism for inflammatory bowel disease." Brightsurf News, May. 30 2018, https://www.brightsurf.com/news/LR54VZY8/body-knows-best-a-natural-healing-mechanism-for-inflammatory-bowel-disease.html.