Bluesky Facebook Reddit Email

How allergens trigger asthma attacks

03.19.18 | CNRS

Apple AirPods Pro (2nd Generation, USB-C)

Apple AirPods Pro (2nd Generation, USB-C) provide clear calls and strong noise reduction for interviews, conferences, and noisy field environments.


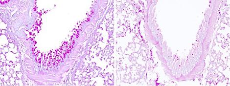
A team of Inserm and CNRS researchers from the Institute of Pharmacology and Structural Biology--or IPBS (CNRS / Université Toulouse III--Paul Sabatier)--have identified a protein that acts like a sensor detecting various allergens in the respiratory tract responsible for asthma attacks. Their study, codirected by Corinne Cayrol and Jean-Philippe Girard, is published in Nature Immunology on 19 March 2018. These scientists' work offers hope for breakthroughs in the treatment of allergic diseases.

What do mold, pollen, and cockroaches have in common? Though they correspond to three different kingdoms of life, they can all cause asthma attacks in people sensitive to them. And all of them, despite their very different compositions, contain enzymes called proteases.

The IPBS team has identified a human protein that reacts to many environmental allergens: interleukin-33 (IL-33). When allergens enter the human respiratory tract, they release proteases that hack IL-33 molecules into extremely reactive pieces triggering the chain reactions behind allergy symptoms.

Apparently, the same mechanism is responsible for these reactions after exposure to any of several different allergens. As a matter of fact, IL-33 was shown to detect 14 different allergens tested, which include some present in ambient air (i.e. pollen, house dust mites, and fungal spores) and others associated with occupational asthma (like subtilisin, found in detergents).

These findings are all the more important because they establish a direct link between genetics and the environment. Indeed, the gene that codes for IL-33 is among the principal ones predisposing humans to asthma.

Furthermore, clinical trials now under way are targeting IL-33. And they're on the right track, given the IPBS team's discovery of a single mechanism for detection of airborne allergens by IL-33. Inhibiting production of reactive IL-33 fragments after allergen exposure might make it possible to limit severe allergic reactions in asthmatic patients.

###

This research was funded by the French National Research Agency (ANR).

Nature Immunology

10.1038/s41590-018-0067-5

Keywords

Article Information

Contact Information

Veronique Etienne
CNRS
veronique.etienne@cnrs.fr

Source

How to Cite This Article

APA:
CNRS. (2018, March 19). How allergens trigger asthma attacks. Brightsurf News. https://www.brightsurf.com/news/LR5ZY0Y8/how-allergens-trigger-asthma-attacks.html
MLA:
"How allergens trigger asthma attacks." Brightsurf News, Mar. 19 2018, https://www.brightsurf.com/news/LR5ZY0Y8/how-allergens-trigger-asthma-attacks.html.