Bluesky Facebook Reddit Email

A new tool for diagnosing cancer

06.22.23 | Harvard Medical School

Creality K1 Max 3D Printer

Creality K1 Max 3D Printer rapidly prototypes brackets, adapters, and fixtures for instruments and classroom demonstrations at large build volume.


At a glance:

When it comes to diagnosing, staging, and assessing cancer, for more than a century pathologists have relied on histology — examining cells and tissues under a microscope to identify telltale patterns.

Now, a team led by researchers at Harvard Medical School has developed a new tool that promises to improve the way pathologists see and evaluate a tumor by providing detailed clues about the cancer. The tool, called Orion, combines histologic with molecular information and offers deeper insight into a tumor’s type, behavior, and likely response to treatment.

A report on the team’s work is published June 22 in Nature Cancer .

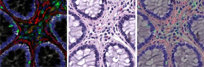
Orion consists of a powerful digital imaging platform that integrates information gained through traditional histology with details revealed by molecular imaging on a tumor sample.

The researchers used Orion to analyze tumor samples from more than 70 patients with colorectal cancer. The tool provided complementary histological and molecular information about each tumor sample and identified biological markers, or biomarkers, that were more common in patients with serious disease. These biomarkers consisted of specific combinations of tumor features, typically based on numbers and properties of immune cells and other cells, that predicted how patients with colorectal cancer would fare.

“This work is a critical next step for taking the principles about tumor features that we are developing in the research space and turning them into a tool that is actually useful in the clinic,” said Sandro Santagata , an HMS associate professor of pathology at Brigham and Women’s Hospital and co-senior author on the paper with Peter Sorger , the HMS Otto Krayer Professor of Systems Pharmacology.

The researchers hope that with further refinement, Orion will improve the diagnosis and treatment of cancer and other diseases by providing physicians with additional details about tumors or other patient samples. Importantly, this detailed information could reveal features and patterns that help scientists develop biomarkers to better predict how a disease will behave, thus allowing treatment to be optimized for each patient.

Taking Orion for a test drive

Sorger, Santagata, and their team have spent the past several years developing and improving tools for imaging human tissue samples. In a recent study described in Cell , the researchers combined a multiplexed imaging technique called cyclic immunofluorescence, or CyCif , with histology — staining a tumor sample with hematoxylin and eosin, or H&E — to map colorectal cancer .

Their maps, freely available to other scientists online , provide an unprecedented level of detail about these tumors, including information about how they are arranged spatially, how they form and progress, and how they interact with various immune cells.

Yet, the scientists wanted to take their work a step further by making the imaging tools designed in a research setting available to clinicians who spend their days looking at tumor samples under a microscope to gather information needed to diagnose and treat patients.

Enter Orion.

Study lead author Jia-Ren Lin , platform director in the Laboratory of Systems Pharmacology at HMS, collaborated with the company RareCyte to develop a digital imaging platform that can quickly collect and analyze both H&E and multiplex immunofluorescence images from the same tissue sample. H&E staining highlights the key structural features that pathologists have traditionally used to determine how severe and advanced a cancer is, whereas multiplex immunofluorescence uses fluorescent, tagged antibodies to label important molecular features such as types of immune cells and other cells. The result is a single digital image that integrates information from both techniques.

“Orion fully merges the two modalities, so that you can go back and forth on a single slide and say, OK, I see that feature in H&E, and now I can figure out what molecular markers are also present. It’s remarkable,” Santagata said.

A narrated example of combined H&E and multiplex image created with Orion is available here .

The researchers used Orion on tumor samples from 74 patients with colorectal cancer organized into two groups. They found that the information provided by the tool allowed them to identify a biomarker of outcome, or a specific combination of features that predicted which colorectal cancers were likely to progress and which were not.

In the context of a tumor, a biomarker often factors in how many and what types of immune cells and other cells are present in different parts of a sample. In this case, Orion identified a biomarker based on the presence of T cells marked with the proteins CD4 or CD45 and tumor cells that contained the proteins PD-L1 or α-SMA. The team showed that this and other Orion-based biomarkers performed as well as or better than an established clinical test called Immunoscore, which is based on CD8 and CD3 T cells and is used by oncologists to assess colorectal cancers.

A new era for pathology

While Orion is still in the early stages of development, the researchers say their results so far provide proof of principle that the platform can be useful in the clinic. The team plans to refine Orion by testing it on larger numbers of patients and investigating the most useful combinations of antibodies. Scaling the platform to make it faster and cheaper will be key to moving it into the clinic, they said.

The team also plans to test Orion in other cancers such as lung cancer and melanoma, and eventually move beyond cancer to conditions such as kidney disease and neurodegenerative diseases that could also benefit from dual histologic and molecular profiling to determine their stage and severity.

The researchers are especially interested in exploring how Orion can be used to identify new biomarkers based on the molecular and structural characteristics of a sample. These biomarkers fall into two categories: prognostic — biomarkers forecasting which patients will do well or poorly and predictive — biomarkers predicting which patients will respond to a particular drug. With Orion, Santagata explained, researchers can easily assess many biomarkers at the same time.

“This platform gives you an ability to search across the biomarker space for a wide range of combinations of markers that could be useful and select the ones with the best performance for a particular measure,” Santagata said. “We feel like we have a tool kit now that will allow us to find these in a relatively rapid manner across cancer types.”

If Orion can indeed find more useful prognostic and predictive clues for cancer, these biomarkers could help oncologists more accurately profile a patient’s tumor and develop a more tailored, individualized treatment plan.

Additionally, the researchers expect that insights gleaned from Orion in the clinic would inform new directions for the basic science research they are pursuing in the lab.

The researchers envision Orion as something that pathologists can ultimately incorporate into their existing workflow, allowing them to add molecular details to their histological expertise to gain a more complete understanding of a sample. Notably, the digital nature of the tool means that pathologists can look at the images on any computer, rather than being confined to a microscope in a lab or clinic.

“H&E is like soul food; it’s comfort for pathologists, it tells us where we are. But now we can layer on molecular information, which is a very powerful capability,” Santagata said. “We're trying to bring new tools to the group of people that are working hard every day to diagnose tumors and other diseases.”

“Pathologists already do a huge amount of work with histology to diagnose a patient and understand their disease, but with this tool to augment their knowledge, they will basically have a ‘super view’ of the sample,” Lin added.

The researchers hope that the tool will eventually help pathologists identify and quantify new features relevant to a disease. They think that Orion may also provide information that can be integrated into artificial intelligence tools being developed to aid pathologists and oncologists .

An important part of the process, the researchers noted, is working closely with different types of pathologists and oncologists to understand what they need. To this end, the team has been in almost constant communication with physicians at Brigham and Women’s Hospital and Dana-Farber Cancer Institute, making frequent trips back and forth across the street between the three institutions.

“The future of diagnostic pathology is digital, and this work could not only transform how clinicians diagnose cancer, but also change how we train the diagnosticians of tomorrow,” said John Aster , the HMS Ramzi S. Cotran Professor of Pathology and deputy chair of pathology at Brigham and Women’s.

As for what questions pathologists have after being introduced to Orion?

“Oh, it’s endless. It’s absolutely endless. This is a whole new world, and each person has their own long list of things they’d like to see,” Santagata said. “Every pathology field has a set of molecular questions that have remained unanswered, and now we have a tool that can start to provide some answers.”

Authorship, funding, disclosures

Additional authors on the paper include Yu-An Chen, Clarence Yapp, and Juliann Tefft of HMS; Shannon Coy of HMS and Brigham and Women’s; Keith Ligon and Scott Rodig of Brigham and Women’s; and Daniel Campton, Jeremy Cooper, Erin McCarty, Steven Reese, and Tad George of RareCyte.

Funding for the research was provided by the National Cancer Institute (grants U54-CA225088, U2C-CA233262; R41-CA224503), RareCyte, the Bill and Melinda Gates Foundation (grant INV-027106), the Gray Foundation, the David Liposarcoma Research Initiative, the Emerson Collective, and Ludwig Cancer Research.

Sorger is a co-founder and board member of Glencoe Software, a board member of Applied BioMath, and on the scientific advisory board for RareCyte, NanoString, and Montai Health. Sorger also holds equity in Glencoe, Applied Biomath, and RareCyte, and is a consultant for Merck. The Sorger lab has received research funding from Novartis and Merck in the past five years. Chen is a consultant for RareCyte. Ligon has patents related to molecular diagnostics of cancer. Rodig receives research support from Bristol-Myers Squibb and KITE/Gilead, and is on the scientific advisory board for Immunitas Therapeutics.

Nature Cancer

10.1038/s43018-023-00576-1

Multi-modal digital pathology for colorectal cancer diagnosis by high-plex immunofluorescence imaging and traditional histology of the same tissue section

22-Jun-2023

Keywords

Article Information

Contact Information

Dennis Nealon
Harvard Medical School
dennis_nealon@hms.harvard.edu
Ekaterina Pesheva
Harvard Medical School
ekaterina_pesheva@hms.harvard.edu

Source

How to Cite This Article

APA:
Harvard Medical School. (2023, June 22). A new tool for diagnosing cancer. Brightsurf News. https://www.brightsurf.com/news/1ZZ2W6Y1/a-new-tool-for-diagnosing-cancer.html
MLA:
"A new tool for diagnosing cancer." Brightsurf News, Jun. 22 2023, https://www.brightsurf.com/news/1ZZ2W6Y1/a-new-tool-for-diagnosing-cancer.html.