Bluesky Facebook Reddit Email

Intestinal parasite could hold key to scar-free wound healing, study suggests

08.23.24 | Rockefeller University Press

GQ GMC-500Plus Geiger Counter

GQ GMC-500Plus Geiger Counter logs beta, gamma, and X-ray levels for environmental monitoring, training labs, and safety demonstrations.


Researchers at Rutgers University in New Jersey have discovered that a protein produced by parasitic worms in the gut enhances wound healing in mice. The study, to be published August 23 in the journal Life Science Alliance ( LSA ) , reveals that applying the protein to skin wounds speeds up wound closure, improves skin regeneration, and inhibits the formation of scar tissue. Whether the protein can be harnessed to enhance wound healing in human patients remains to be seen.

Skin wounds must be rapidly closed in order to prevent infection, but rapid wound closure can favor the development of scar tissue instead of properly regenerated skin. The balance between scarring and successful tissue regeneration is strongly influenced by immune cells recruited to the wound site, and many researchers are interested in finding ways to boost the activity of immune cell types that promote regeneration while inhibiting the activity of immune cells that promote tissue scarring.

Recent studies have suggested that molecules secreted by parasitic worms might modulate the host’s immune system in ways that promote tissue regeneration. In the new LSA study, a team led by William C. Gause, Director of the Center for Immunity and Inflammation at Rutgers, investigated a protein called TGM that is produced by Heligmosomoides polygyrus , a parasitic roundworm that lives in the intestines of mice and other rodents.

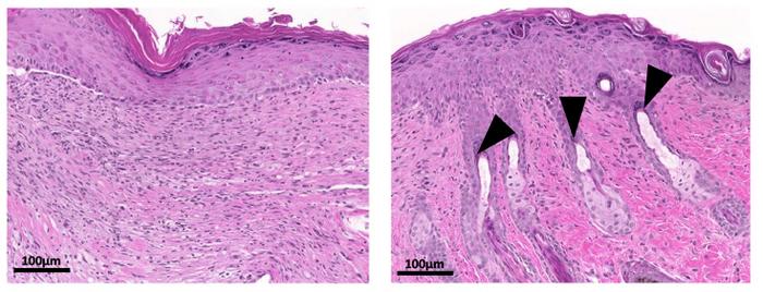
Gause and colleagues found that daily topical applications of TGM accelerated the closure of skin wounds in mice. Moreover, TGM treatment reduced the formation of scar tissue while enhancing skin regeneration. For example, unlike untreated animals, TGM-treated mice were able to form new hair follicles within the wounded region of the skin.

The researchers determined that TGM works by binding to a signaling protein, called the TGF-b receptor, that is found on the surface of many cell types in mice and humans, including immune cells. TGM treatment appears to stimulate the recruitment of immune cells known as macrophages into wounds and reprograms them to promote tissue regeneration.

“In this study, we have developed a novel therapy for the treatment of skin wounds that favors regenerative wound healing over tissue fibrosis and scarring,” Gause says. “It provides a significant framework for the potential use of an easy-to-produce parasite protein as a therapy to promote cutaneous wound healing.”

Lothstein et al. 2024. Life Science Alliance https://doi.org/10.26508/lsa.202302249?PR

# # #

About Life Science Alliance

Life Science Alliance ( LSA ) is a global, open-access, editorially independent, and peer-reviewed journal launched in 2018 by an alliance of EMBO Press , Rockefeller University Press , and Cold Spring Harbor Laboratory Press . LSA is committed to rapid, fair, and transparent publication of valuable research from across all areas in the life sciences. For more information, visit lsajournal.org .

Visit the Rockefeller University Press Newsroom , and sign up for a weekly preview of articles to be published. Embargoed media alerts are for journalists only.

Follow LSA on Twitter at @LSAjournal .

Life Science Alliance

10.26508/lsa.202302249

Experimental study

Animals

Helminth protein enhances wound healing by inhibiting fibrosis and promoting tissue regeneration

23-Aug-2024

Rutgers, the State University of New Jersey has submitted a patent application on behalf of WC Gause, F Chen, Zhugong Liu, and P Mishra, which has been issued as Patent No. US 9,931,361 B2.

Keywords

Article Information

Contact Information

Ben Short
Rockefeller University Press
bshort@rockefeller.edu

How to Cite This Article

APA:
Rockefeller University Press. (2024, August 23). Intestinal parasite could hold key to scar-free wound healing, study suggests. Brightsurf News. https://www.brightsurf.com/news/8J46Z74L/intestinal-parasite-could-hold-key-to-scar-free-wound-healing-study-suggests.html
MLA:
"Intestinal parasite could hold key to scar-free wound healing, study suggests." Brightsurf News, Aug. 23 2024, https://www.brightsurf.com/news/8J46Z74L/intestinal-parasite-could-hold-key-to-scar-free-wound-healing-study-suggests.html.