Bluesky Facebook Reddit Email

Complete response to encorafenib + binimetinib in BRAF V600E-mutant tumor

10.29.24 | Impact Journals LLC

Kestrel 3000 Pocket Weather Meter

Kestrel 3000 Pocket Weather Meter measures wind, temperature, and humidity in real time for site assessments, aviation checks, and safety briefings.


“This case report highlights the importance of full tumor genotyping to identify potentially actionable targets in rare tumors such as malignant glomus tumors.”

BUFFALO, NY- October 29, 2024 – A new case report was published in Oncotarget's Volume 15 on October 11, 2024, entitled “ Complete response to encorafenib plus binimetinib in a BRAF V600E-mutant metastasic malignant glomus tumor .”

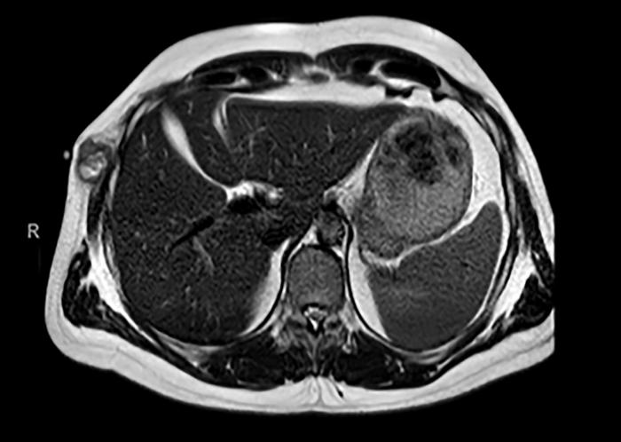
As highlighted in the abstract, glomus tumors (GT) are rare mesenchymal neoplasms originating in dermal arteriovenous structures involved in thermoregulation. While generally benign, some can exhibit malignant features, leading to aggressive behavior, metastasis, and limited response to standard chemotherapy. The identification of the BRAF V600E mutation in certain malignant GT cases offers a promising therapeutic target.

In their paper, researchers Marta Arregui, Antonio Calles, María del Mar Galera, Ana Gutiérrez, Carlos López-Jiménez, Carolina Agra, Adriana Fernández, Natalia Gutiérrez, María de Toro and Rosa Álvarez from Gregorio Marañón University Hospital and Fundación Jiménez Díaz University Hospital in Madrid, Spain, document a remarkable clinical and metabolic response in a case of metastatic BRAF V600E-mutated glomangiosarcoma treated with the combination of encorafenib and binimetinib.

They report on a 45-year-old male patient with stage IV malignant GT carrying a BRAF V600E mutation, who was treated systemically with encorafenib and binimetinib. This approach led to a swift clinical and radiological improvement.

“To our knowledge, our patient represents the first reported case of a metastatic malignant GT successfully treated with BRAF and MEK inhibitors, achieving a long-lasting complete morpho-metabolic response.”

Continue reading: DOI: https://doi.org/10.18632/oncotarget.28654

Correspondence to : Carlos López-Jiménez - clopezjimenez@atbsarc.org

Video short: https://www.youtube.com/watch?v=xjbj3Iu16P4

Keywords: cancer, malignant glomus tumor, glomangiosarcoma, BRAF V600E, agnostic treatment, targeted therapy

Click here to sign up for free Altmetric alerts about this article.

About Oncotarget:

Oncotarget (a primarily oncology-focused, peer-reviewed, open access journal) aims to maximize research impact through insightful peer-review; eliminate borders between specialties by linking different fields of oncology, cancer research and biomedical sciences; and foster application of basic and clinical science.

Oncotarget is indexed and archived by PubMed/Medline , PubMed Central , Scopus , EMBASE, META (Chan Zuckerberg Initiative) (2018-2022), and Dimensions (Digital Science).

To learn more about Oncotarget , visit Oncotarget.com and connect with us on social media:

X
Facebook
YouTube
Instagram
LinkedIn
Pinterest
Spotify , and available wherever you listen to podcasts

Click here to subscribe to Oncotarget publication updates.

For media inquiries , please contact media@impactjournals.com .

Oncotarget Journal Office
6666 East Quaker St., Suite 1
Orchard Park, NY 14127
Phone: 1-800-922-0957 (option 2)

Oncotarget

10.18632/oncotarget.28654

Case study

People

Complete response to encorafenib plus binimetinib in a BRAF V600E-mutant metastasic malignant glomus tumor

11-Oct-2024

Authors have no conflicts of interest to declare.

Keywords

Article Information

Contact Information

Ryan Braithwaite
Impact Journals LLC
media@impactjournals.com

Source

How to Cite This Article

APA:
Impact Journals LLC. (2024, October 29). Complete response to encorafenib + binimetinib in BRAF V600E-mutant tumor. Brightsurf News. https://www.brightsurf.com/news/L7V2O9N8/complete-response-to-encorafenib-binimetinib-in-braf-v600e-mutant-tumor.html
MLA:
"Complete response to encorafenib + binimetinib in BRAF V600E-mutant tumor." Brightsurf News, Oct. 29 2024, https://www.brightsurf.com/news/L7V2O9N8/complete-response-to-encorafenib-binimetinib-in-braf-v600e-mutant-tumor.html.