Bluesky Facebook Reddit Email

Long-lasting immunotherapy response in stage IV lung cancer with brain metastasis

10.18.24 | Impact Journals LLC

Nikon Monarch 5 8x42 Binoculars

Nikon Monarch 5 8x42 Binoculars deliver bright, sharp views for wildlife surveys, eclipse chases, and quick star-field scans at dark sites.


“In the last decade, immunotherapy agents changed the treatment landscape for Non-Small Cell Lung Cancer (NSCLC).”

BUFFALO, NY - October 18, 2024 – A new case report was published in Oncoscience (Volume 11) on October 8, 2024, entitled, “ Complete and long-lasting response to immunotherapy in a stage IV non-small cell lung cancer with brain metastasis .”

As highlighted in the abstract of this report, approximately 20% of lung cancer patients have brain metastases at diagnosis, which is associated with a worse prognosis and negatively impacts quality of life. The emergence of new systemic treatment options, such as immune checkpoint inhibitors (ICI) and targeted therapies, has changed the prognosis for stage IV lung cancer patients. However, the impact of treatment sequencing—both local and systemic—in patients with stage IV lung cancer and brain metastases remains unclear.

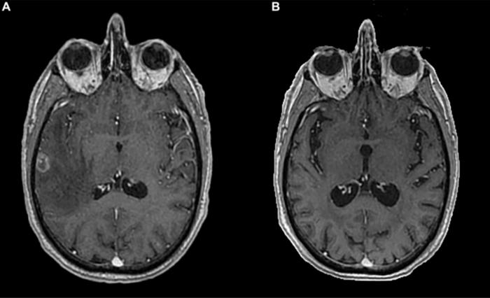
Researchers Mafalda Costa and Helena Magalhães from the Department of Medical Oncology, Hospital Pedro Hispano in Matosinhos, Portugal present the case of a 51-year-old man diagnosed with stage IV non-small cell lung cancer (NSCLC) and brain metastasis. After undergoing whole brain radiotherapy (WBRT), the patient achieved both intracranial and extracranial complete response following second-line treatment with an immune checkpoint inhibitor. Currently, he has an overall survival of 87 months and a progression-free survival of 73 months, maintaining an optimal quality of life.

"We hypothesized that treatment sequencing of WBRT and immunotherapy could explain this unexpected outcome.”

Continue reading: DOI: https://doi.org/10.18632/oncoscience.609

Corresponding author: Mafalda Costa - mafalda.teixeiracosta@ulsm.min-saude.pt

Keywords: cancer, lung cancer, complete response, immune checkpoint inhibitors, brain metastasis, whole-brain radiotherapy

About Oncoscience :

Oncoscience is a peer-reviewed, open-access, traditional journal covering the rapidly growing field of cancer research, especially emergent topics not currently covered by other journals. This journal has a special mission: Freeing oncology from publication cost. It is free for the readers and the authors.

Oncoscience is indexed and archived by PubMed, PubMed Central, Scopus, META (Chan Zuckerberg Initiative) (2018-2022), and Dimensions (Digital Science).

To learn more about Oncoscience , visit Oncoscience.us and connect with us on social media:

For media inquiries, please contact media@impactjournals.com .

Oncoscience Journal Office

6666 East Quaker St., Suite 1
Orchard Park, NY 14127
Phone: 1-800-922-0957, option 4

Oncoscience

10.18632/oncoscience.609

Case study

Not applicable

Complete and long-lasting response to immunotherapy in a stage IV non-small cell lung cancer with brain metastasis

8-Oct-2024

Authors have no conflicts of interest to declare.

Keywords

Article Information

Contact Information

Ryan Braithwaite
Impact Journals LLC
media@impactjournals.com

Source

How to Cite This Article

APA:
Impact Journals LLC. (2024, October 18). Long-lasting immunotherapy response in stage IV lung cancer with brain metastasis. Brightsurf News. https://www.brightsurf.com/news/LMJEZ2RL/long-lasting-immunotherapy-response-in-stage-iv-lung-cancer-with-brain-metastasis.html
MLA:
"Long-lasting immunotherapy response in stage IV lung cancer with brain metastasis." Brightsurf News, Oct. 18 2024, https://www.brightsurf.com/news/LMJEZ2RL/long-lasting-immunotherapy-response-in-stage-iv-lung-cancer-with-brain-metastasis.html.