Bluesky Facebook Reddit Email

Oncotarget | Nectin-4 is widely expressed in head and neck squamous cell carcinoma

11.03.22 | Impact Journals LLC

Anker Laptop Power Bank 25,000mAh (Triple 100W USB-C)

Anker Laptop Power Bank 25,000mAh (Triple 100W USB-C) keeps Macs, tablets, and meters powered during extended observing runs and remote surveys.


“​​In this study, we aimed to determine the rate of Nectin-4 positivity in a contemporary cohort of HNSCC and to correlate these findings with clinico-pathological parameters.”

BUFFALO, NY- November 3, 2022 – A new research paper was published in Oncotarget's Volume 13 on October 20, 2022, entitled, “ Nectin-4 is widely expressed in head and neck squamous cell carcinoma .”

Nectin-4 has been successfully established as a target molecule in locally advanced and metastatic bladder cancer. An antibody-drug conjugate (enfortumab-vedotin) directed against nectin-4 has shown marked tumor remission rates in this tumor type, which is known for high expression rates of nectin-4.

As head and neck cancer and urothelial carcinomas share morphological and molecular similarities, researchers Christine Sanders, Jan-Frederic Lau, Dimo Dietrich, Sebastian Strieth, Peter Brossart, and Glen Kristiansen from University Medical Center Bonn and University Hospital Bonn aimed to evaluate Nectin-4 expression in head and neck squamous cell carcinoma (HNSCC).

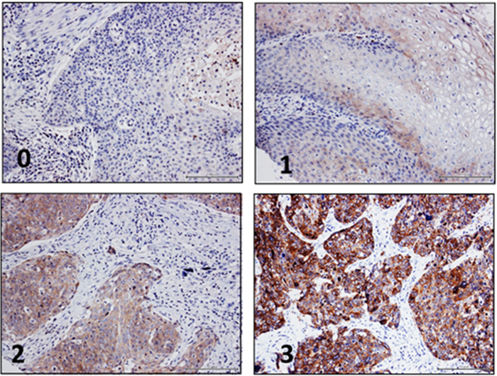
A previously described and clinically characterized cohort of HNSCC (n = 159) was analyzed by immunohistochemistry for Nectin-4 expression. The expression data was correlated to clinico-pathological parameters including patient outcome.

Nectin-4 was found in 86.2% of HNSCC, with medium/high expression seen in 32.7% of cases. Non-smokers and p16 positive HNSCC showed a higher expression of Nectin-4 (p < 0.005). There was no correlation of Nectin-4 with grading or tumor stage. Nectin-4 positive tumors showed significantly better survival (log rank p = 0.006).

“Similar to urothelial carcinoma, Nectin-4 is found in the majority of HNSCC, which clearly warrants further studies to clarify if HNSCC also respond to targeted therapy with enfortumab-vedotin. Moreover, expression of Nectin-4 is associated with HPV infection and may serve as a prognostic marker in HNSCC.”

DOI: https://doi.org/10.18632/oncotarget.28299

Correspondence to: Glen Kristiansen - Email: glen.kristiansen@ukbonn.de

Keywords: Nectin-4, enfortumab-vedotin, HNSCC, p16

About Oncotarget : Oncotarget (a primarily oncology-focused, peer-reviewed, open access journal) aims to maximize research impact through insightful peer-review; eliminate borders between specialties by linking different fields of oncology, cancer research and biomedical sciences; and foster application of basic and clinical science.

To learn more about Oncotarget , visit Oncotarget.com and connect with us on social media:

For media inquiries, please contact: media@impactjournals.com .

Oncotarget Journal Office

6666 East Quaker Str., Suite 1A

Orchard Park, NY 14127

Phone: 1-800-922-0957 (option 2)

###

Oncotarget

10.18632/oncotarget.28299

Experimental study

Human tissue samples

Nectin-4 is widely expressed in head and neck squamous cell carcinoma

20-Oct-2022

Keywords

Article Information

Contact Information

Ryan Braithwaite
Impact Journals LLC
media@impactjournals.com

Source

How to Cite This Article

APA:
Impact Journals LLC. (2022, November 3). Oncotarget | Nectin-4 is widely expressed in head and neck squamous cell carcinoma. Brightsurf News. https://www.brightsurf.com/news/8Y4KENOL/oncotarget-nectin-4-is-widely-expressed-in-head-and-neck-squamous-cell-carcinoma.html
MLA:
"Oncotarget | Nectin-4 is widely expressed in head and neck squamous cell carcinoma." Brightsurf News, Nov. 3 2022, https://www.brightsurf.com/news/8Y4KENOL/oncotarget-nectin-4-is-widely-expressed-in-head-and-neck-squamous-cell-carcinoma.html.